Dr. Ina Isac

"One eye-witness is of more weight than ten hearsays"
Plautus
Preturi Blog Intreaba
Medicul
Parerea
Pacientilor
 
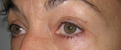
Chirurgia fetei > Blefaroplastie (chirurgia pleoapelor)
Mai multe poze: 1 | 2 |
  blefaroplastie caz1 caz #1
inainte
blefaroplastie caz1-pre1
blefaroplastie caz1-pre2
blefaroplastie caz1-pre3
dupa
blefaroplastie caz1-post1
blefaroplastie caz1-post2
blefaroplastie caz1-post3
Pacienta 49 ani, blefaroplastie superioara si inferioara, bilaterala.

  blefaroplastie caz2 caz #2
inainte
blefaroplastie caz2-pre1
blefaroplastie caz2-pre2
blefaroplastie caz2-pre3
dupa
blefaroplastie caz2-post1
blefaroplastie caz2-post2
blefaroplastie caz2-post3
Pacienta, 50 ani, blefaroplastie superioara si inferioara, rezultat la 2 luni postoperator

  blefaroplastie caz3 caz #3
inainte
blefaroplastie caz3-pre1
blefaroplastie caz3-pre2
blefaroplastie caz3-pre3
dupa
blefaroplastie caz3-post1
blefaroplastie caz3-post2
blefaroplastie caz3-post3
Pacienta, 45 ani, blefaroplastie inferioara transconsjunctivala, rezultat la 18 zile postoperator.

  blefaroplastie caz4 caz #4
inainte
blefaroplastie caz4-pre1
blefaroplastie caz4-pre2
blefaroplastie caz4-pre3
dupa
blefaroplastie caz4-post1
blefaroplastie caz4-post2
blefaroplastie caz4-post3
Pacienta, 35 ani, blefaroplastie inferioara transconjunctivala, rezultat la o luna postoperator.

  blefaroplastie caz5 caz #5
inainte
blefaroplastie caz5-pre1
blefaroplastie caz5-pre2
blefaroplastie caz5-pre3
dupa
blefaroplastie caz5-post1
blefaroplastie caz5-post2
blefaroplastie caz5-post3
Pacient, 28 ani, blefaroplastie inferioara transconjunctivala, rezultat la 3 saptamani postoperator.

  blefaroplastie caz6 caz #6
inainte
blefaroplastie caz6-pre1
blefaroplastie caz6-pre2
blefaroplastie caz6-pre3
dupa
blefaroplastie caz6-post1
blefaroplastie caz6-post2
blefaroplastie caz6-post3
Pacienta , 50 ani, blefaroplastie superioara si inferioara si cantopexie laterala (ridicarea unghiului extern al ochiului); rezultat la o luna postoperator.

  blefaroplastie caz7 caz #7
inainte
blefaroplastie caz7-pre1
blefaroplastie caz7-pre2
blefaroplastie caz7-pre3
dupa
blefaroplastie caz7-post1
blefaroplastie caz7-post2
blefaroplastie caz7-post3
Pacient, 40 ani, blefaroplastie superioara, rezultat la 10 luni postoperator.

  blefaroplastie caz8 caz #8
inainte
blefaroplastie caz8-pre1
blefaroplastie caz8-pre2
blefaroplastie caz8-pre3
dupa
blefaroplastie caz8-post1
blefaroplastie caz8-post2
blefaroplastie caz8-post3
Pacient, 45 ani, blefaroplastie superioara si inferioara si browpexie stanga (ridicarea sprancenei stangi pentru simetrizare). Rezultat la o luna postoperator. Cicatricea de deasupra sprancenei stangi este imperceptibila.

  blefaroplastie caz9 caz #9
inainte
blefaroplastie caz9-pre1
blefaroplastie caz9-pre2
blefaroplastie caz9-pre3
dupa
blefaroplastie caz9-post1
blefaroplastie caz9-post2
blefaroplastie caz9-post3
Pacienta, 50 ani, blefaroplastie superioara si inferioara, rezultat la 3 luni postoperator.

  blefaroplastie caz10 caz #10
inainte
blefaroplastie caz10-pre1
blefaroplastie caz10-pre2
blefaroplastie caz10-pre3
dupa
blefaroplastie caz10-post1
blefaroplastie caz10-post2
blefaroplastie caz10-post3
Pacienta, 30 ani, blefaroplastie inferioara transcutanata pentru ameliorarea ridurilor fine de sub ochi. Rezultat la 2 luni postoperator.

Mai multe poze: 1 | 2 |